Surgeons
Specialties
Gallery
Contact
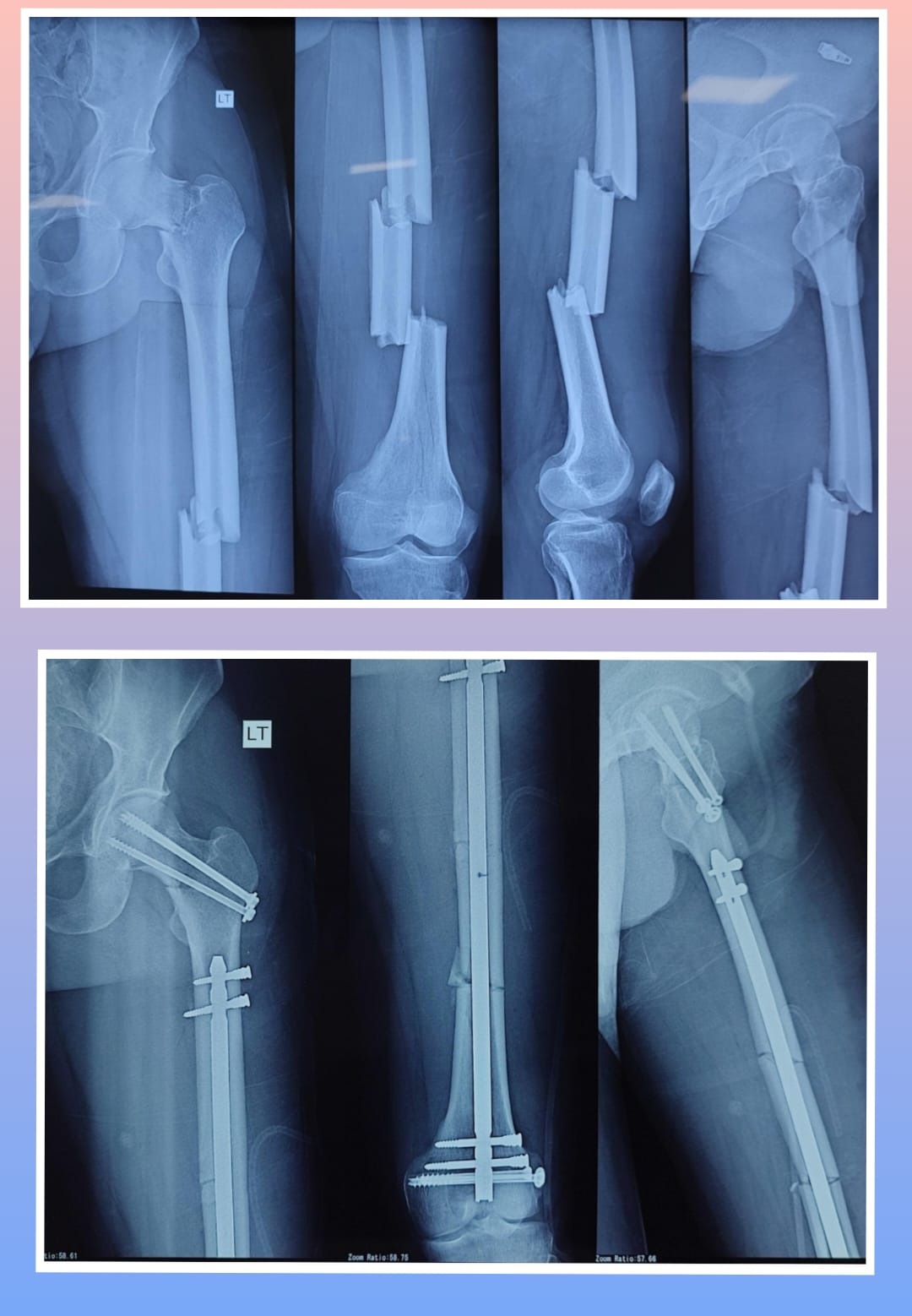
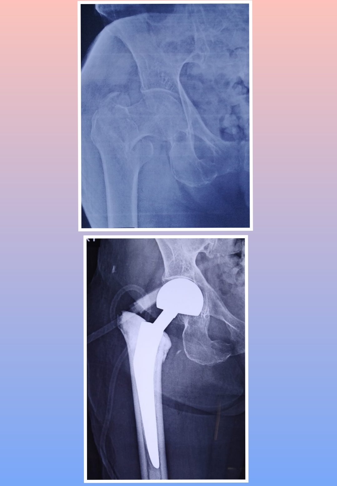
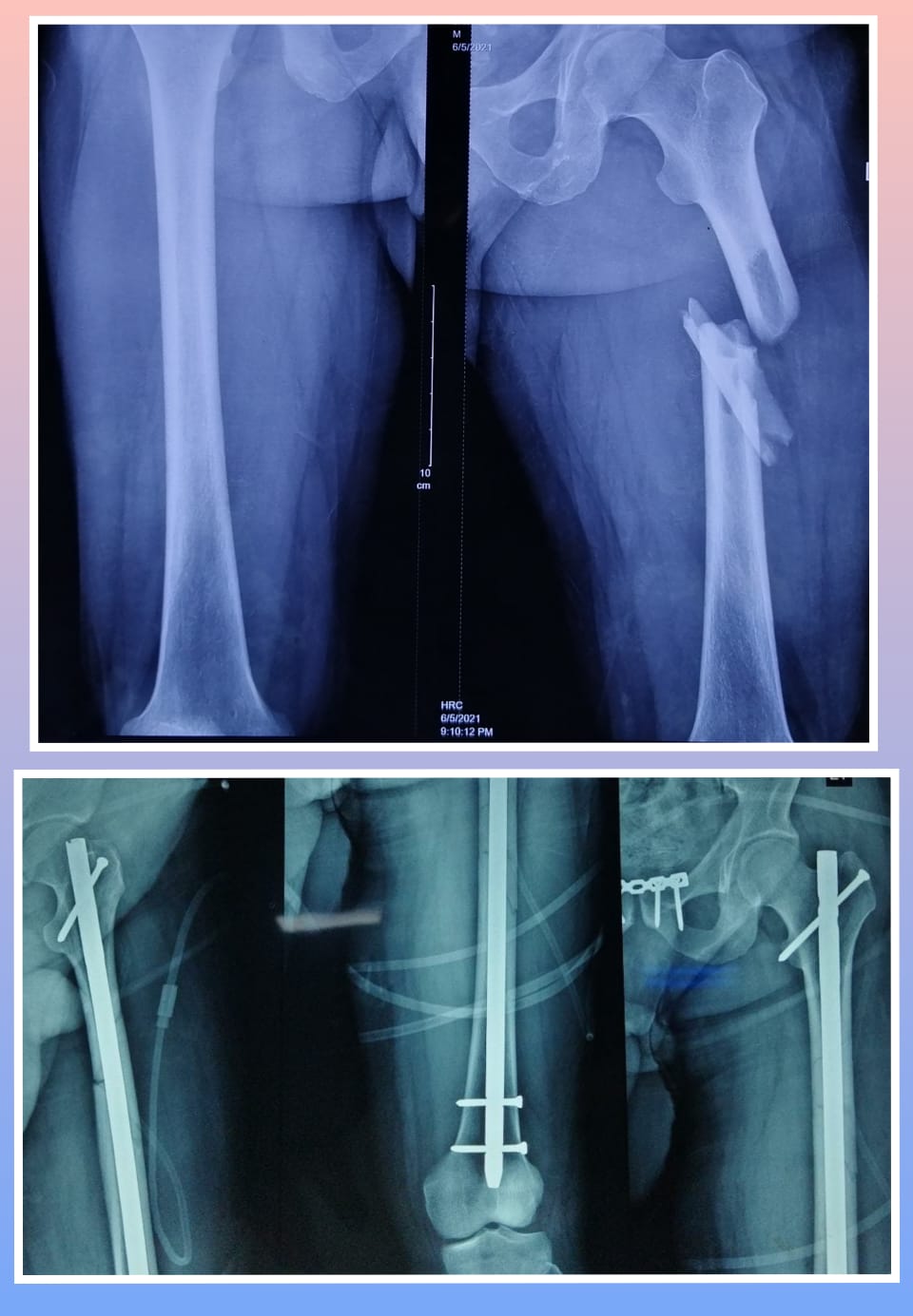
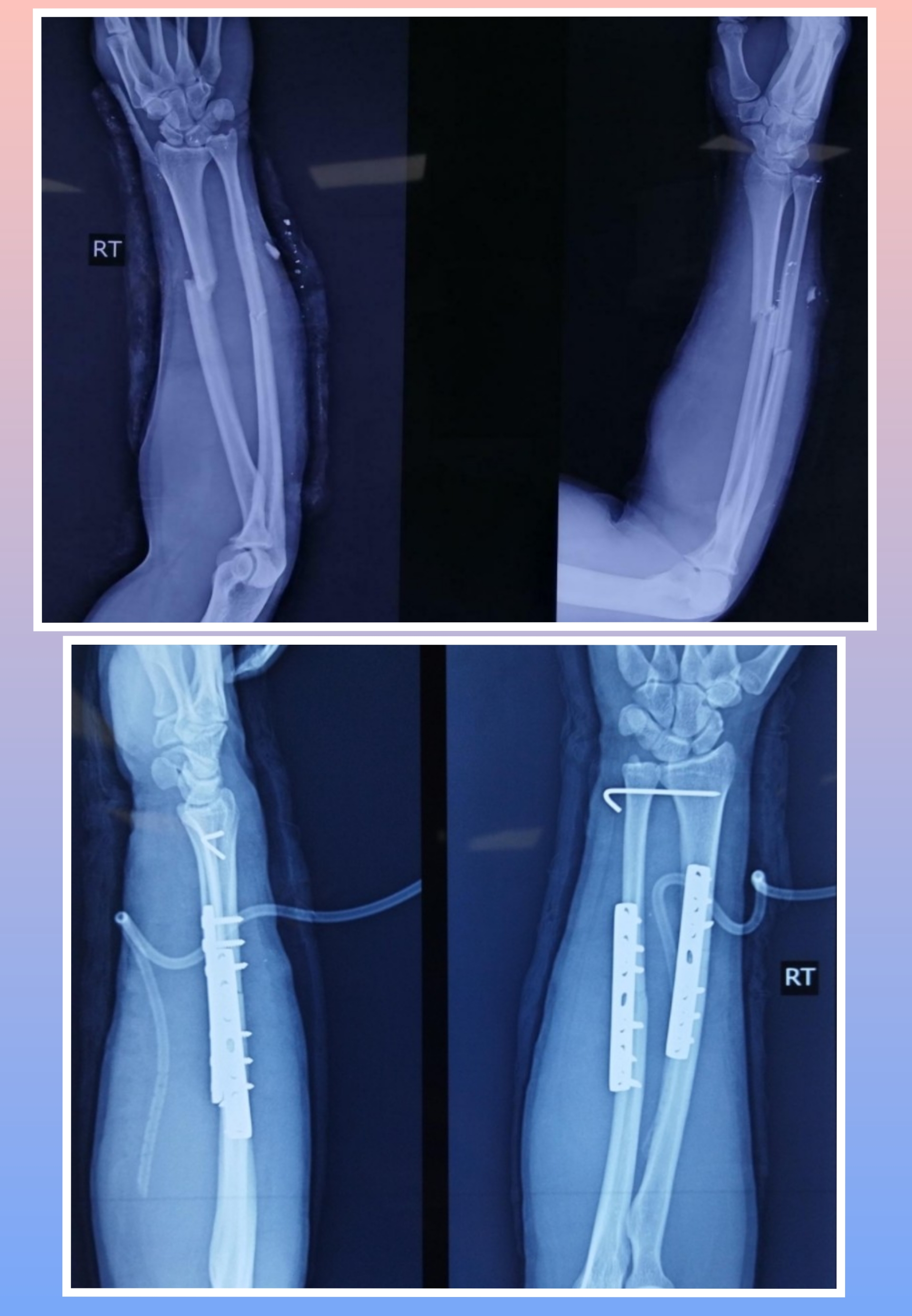
X-ray
Warning: Graphic Content
The following section contains graphic images of surgical procedures. These images are intended for educational purposes and may be disturbing to some viewers. Viewer discretion is advised.
Surgeries